Dental hygiene tips for healthy teeth & gums

Smoking changes the mouth in small ways long before anyone notices. It may feel like a relaxing habit or a social moment, but slowly the smile begins to show signs. Stains become deeper. Breath feels off more often. Tiny dental issues start popping up.
Knowing the truth behind these shifts can help someone choose what is best for their smile. This article looks at how smoking affects teeth and how caring guidance from a dental team can make that next step easier.
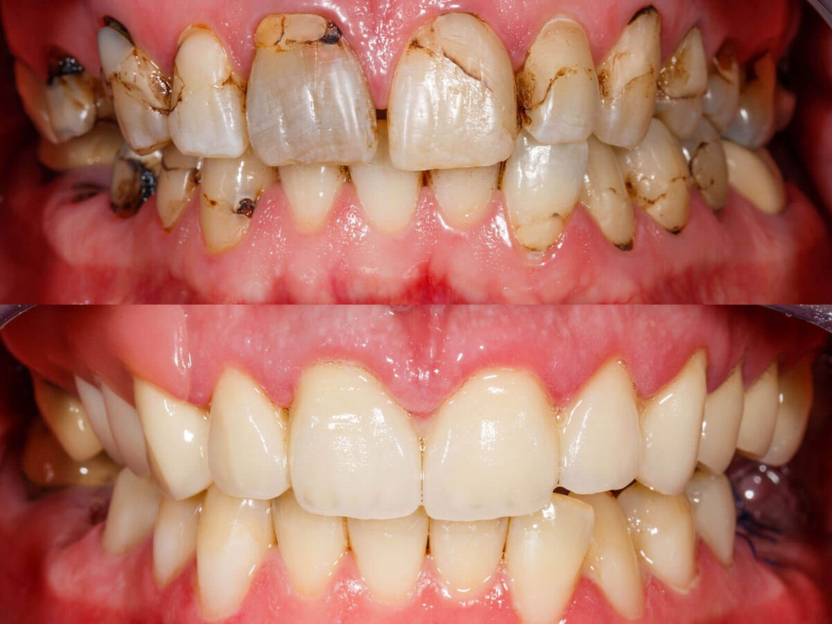
When someone starts thinking how does smoking affect the teeth, stained enamel is usually the first thing that comes to mind. But there is more happening. Smoke can dry out the mouth and lower oxygen in the gums. Chemicals sit against enamel and soft tissue every day, and that makes fighting bacteria tougher. It is not about blame. It is simply understanding what the mouth deals with, so better choices feel within reach.
Saliva helps protect the mouth every day by clearing food and keeping enamel strong against damage. Smoking slows that natural protection, and dryness begins to take over quickly. A dry mouth encourages bacterial growth and makes gums feel irritated without warning. People asking “how does smoking affect your teeth” often miss saliva as the reason discomfort grows quietly. With less moisture and reduced oxygen reaching the gums, healing slows, and even small issues remain longer than they should inside the mouth.
Nicotine and tar settle into the tiny grooves of enamel. They leave behind yellow or brown marks that brushing alone cannot remove. A dental cleaning can help, yet the stain returns quickly if smoking continues daily. Over time, the enamel surface itself begins to lose strength. It becomes easier for acids to work their way into the deeper layers of the tooth. A slight shock from something cold or sweet may be the first sign. As the discomfort worsens, a person finally wonders how to treat tooth sensitivity pain and get back to eating comfortably again.
Some people notice one thing first. The smile looks fine, but the gums feel a little off. That is one of the quiet effects of smoking on the teeth. Smoking changes how the gums react. They do not bleed much, even when something is wrong, because less blood reaches the area. So gum trouble stays hidden. As the gums retreat, the tooth starts to show more than it should. Cold drinks hurt. Food touches the roots. It feels different every day. When someone finally asks how smoking affects teeth, gum disease becomes part of the answer, even if it stayed hidden for years.
Support for each tooth comes from bone beneath the gums. Chronic gum infection causes the support to shrink. Smoking makes this process move faster. When bone reduces over time, teeth start to feel loose or shift slightly out of place. A once-comfortable bite can change, and cavities form in areas that used to be safe.
Understanding how smoking affects your teeth means understanding this long journey beneath the gum line. The loss is quiet at first, but the result can be the need for advanced treatment later on.
The mouth repairs itself after every cleaning or filling. Smoking gets in the way by slowing how blood moves through the gums, and healing does not happen as quickly. Dentists sometimes schedule more follow-ups for patients who smoke. They ask these questions because they want everything to go well. Comfort and easy recovery always come first.
Smoking can influence everyday life in ways people rarely think about. One meal tastes slightly different. Then the next. The tongue loses some of its spark, and flavours that used to stand out now feel muted. Even after brushing, breath turns quickly because dryness allows bacteria to hang on tight. To feel satisfied at meals, people might add sugar or spices without noticing how often it happens. Months later, the dentist spots extra cavities or early damage that comes from those quiet, slow changes inside the mouth.
Most people think first about oral health. But the smile influences daily life in other ways, too. When teeth appear dull or gums feel uncomfortable, someone may hide their smile in photos or feel uncertain when speaking up. Seeing the changes early gives a chance to take control instead of feeling discouraged later.
The purpose here is not to judge the habit. The goal is simply to make space for small choices that help the mouth feel better again. Maybe it starts with fewer cigarettes in a day, a little more water while working or relaxing, or a gentle fluoride rinse before bed. The question “how to treat a sensitive tooth” often becomes easier to manage once dryness settles down, and the enamel receives steady support again.
A dentist can help choose products made for how to treat tooth sensitivity, including toothpaste with calming minerals. A professional cleaning can remove stubborn stains and check early signs of gum problems. These visits build a path toward better days without expecting instant change.
Talking about smoking at an appointment can feel a bit personal. A kind dental team understands that. They check what the gums and bone need and suggest simple steps that fit life as it is right now. They cheer progress instead of showing their mistakes. When someone feels understood, looking after their smile starts to feel like a positive part of the day.
Keeping water nearby helps saliva protect the teeth and gums all day. A straw can shield front teeth when enjoying dark drinks that usually stain quickly. After smoking, rinsing removes whatever clings to the mouth. Daily cleaning takes away the bits that bacteria love. None of this feels big, but it matters. It gives the mouth support while someone quietly thinks about what health changes might fit their life in the future.
Some of the ways smoking affects the mouth are quiet and gradual. The smile loses brightness. Gums struggle a bit more. Healing slows after a dental visit. Once someone sees the effects of smoking on the teeth, they can make choices that help the mouth stay strong. More water. Regular check-ins. Support from a team that understands. Progress may come slowly, yet every step counts as a win.
If someone starts to feel sensitivity or notices stains or gum soreness, checking in with a dentist can help. A caring team will explain how does smoking affect the teeth in a simple way, look for early concerns, and suggest an easy plan that keeps the smile comfortable in everyday life.